thesweetdesigns.com
HOME
About
Contact
Disclaimer
Privacy
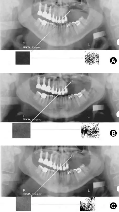
Panoramic radiographic examination
Oct 13, 2025
by thesweetdesigns.com
139
views