thesweetdesigns.com
HOME
About
Contact
Disclaimer
Privacy
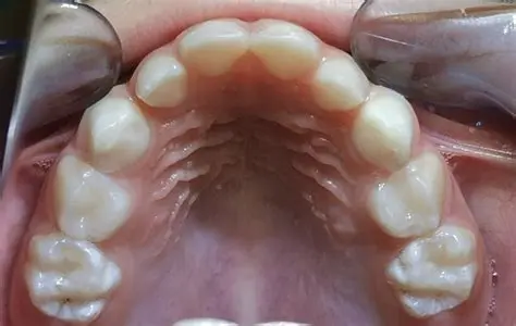
O Uso Prolongado da Chupeta
Oct 13, 2025
by thesweetdesigns.com
113
views