thesweetdesigns.com
HOME
About
Contact
Disclaimer
Privacy
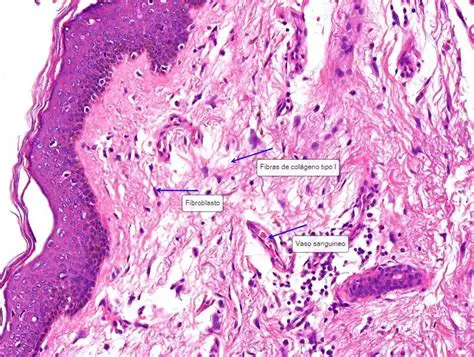
Hipotrofia del tejido conectivo
Oct 13, 2025
by thesweetdesigns.com
117
views