thesweetdesigns.com
HOME
About
Contact
Disclaimer
Privacy
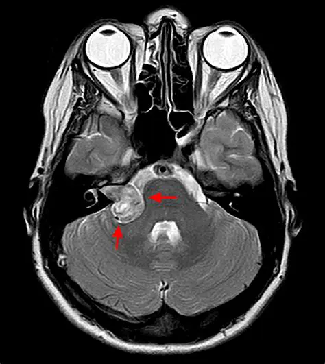
Damage to the auditory nerve
Oct 13, 2025
by thesweetdesigns.com
11
views